When chronic joint pain limits your movement and affects your quality of life, advanced medical care can make all the difference. For individuals struggling with severe arthritis, joint injuries, or age-related joint degeneration, replacement of joint offers a safe and lasting solution.
If you’re searching for the Best Joint Replacement Surgeon in Patna, Bihar, Dr. Ashwini Gaurav stands out for his exceptional skills, modern surgical techniques, and patient-focused care. With over 15 years of experience in orthopaedics and arthroplasty, he has helped numerous patients regain strength, mobility, and independence through successful joint replacement procedures.
Currently, Dr. Ashwini Gaurav serves as the Director and Head of the Department of Orthopaedic & Joint Replacement Surgery at Jeevandan Health OPD, Patna. He has earned the reputation of being one of the best orthopedic doctors in Patna, backed by an impressive record of 15,000+ happy patients, 3,000+ successful treatments, and 15+ prestigious awards. With a 100% satisfaction rate, his clinic, OrthoPatna, is known for offering world-class orthopedic care under one roof, combining precision, innovation, and compassion to deliver faster recovery and long-term joint health.
Dr. Ashwini Gaurav, MBBS (Hons), MS (Orthopaedics), is a leading orthopaedic surgeon in Patna specialising in joint replacement and arthroplasty. With over 15 years of experience, he is known for his precision, compassionate care, and excellent surgical outcomes. He has received advanced training in arthroplasty and sports injury management from reputed national and international centres, mastering procedures like Total Joint Replacement, Partial Joint Replacement, and Knee & Hip Arthroplasty.
At his clinic — OrthoPatna — Dr. Gaurav leads a skilled team offering comprehensive care for bone, joint, and muscle disorders using modern, minimally invasive techniques. His dedication to patient satisfaction and use of advanced technology make him one of the best orthopaedic surgeons in Patna.
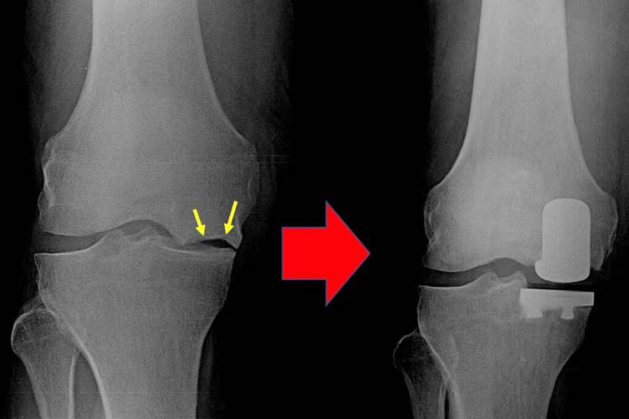
Joint Replacement Surgery, also known as Arthroplasty, is a medical procedure in which a damaged or worn-out joint is replaced with an artificial implant (prosthesis). These implants replicate the natural movement of a healthy joint, reducing pain and restoring mobility.
Joint Replacement Definition
In simple terms, joint replacement means removing damaged cartilage and bone from a diseased joint and substituting it with a metal, plastic, or ceramic implant designed to function like a natural joint. It’s one of the most successful orthopaedic procedures today, improving millions of lives worldwide. Patients who undergo Total Joint Replacement Surgery typically regain strength, flexibility, and the ability to perform everyday activities without pain. You can also learn more about the joint replacement procedure through a joint replacement video demonstration, often shared during consultations at OrthoPatna, to help patients understand what to expect before and after surgery.
There are different types of joint replacement surgeries, depending on the affected joint and the severity of damage. The most common types include:

In Total Joint Replacement Surgery, the entire joint surface is replaced with an artificial implant. It's commonly performed for severe arthritis or trauma involving the hip, knee, or shoulder.

When only one portion of a joint is damaged, a Partial Joint Replacement can be done. This preserves healthy bone and tissue, allowing for faster recovery and better mobility.

Knee joint replacement is one of the most frequently performed orthopaedic surgeries. It replaces the worn-out surfaces of the knee with metal and plastic components, providing pain relief and stability.

In a joint replacement hip surgery, the ball-and-socket structure of the hip joint is replaced with an artificial implant, helping patients regain pain-free movement after arthritis or hip fractures.

Though less common, replacement surgeries for the shoulder, elbow, and ankle are also performed for patients with severe joint damage or rheumatoid arthritis.
Each surgery is customised according to the patient’s anatomy, lifestyle, and activity level. At OrthoPatna, Dr. Ashwini Gaurav performs all these procedures using advanced techniques and precision-guided equipment to ensure optimal outcomes.
You may need Joint Replacement Surgery if:
Common causes include osteoarthritis, rheumatoid arthritis, post-traumatic arthritis, or avascular necrosis. During evaluation, Dr. Ashwini Gaurav, the Best Joint Replacement Surgeon in Patna, carefully assesses each patient using X-rays, MRIs, and clinical examination before recommending surgery. Early diagnosis and timely treatment can significantly improve recovery and long-term results.
Modern orthopaedics offers multiple treatment paths for joint problems, depending on the stage of joint damage.
Non-Surgical Management
Surgical Options:
When conservative treatment fails, joint replacement surgery becomes the most effective option. The surgical process at OrthoPatna involves:
Dr. Ashwini Gaurav, a top orthopedist in Patna, ensures that every step — from diagnosis to recovery — is handled with utmost care and expertise.
The joint replacement cost in Patna varies based on several factors:
At OrthoPatna, patients receive transparent and affordable pricing for Total Joint Replacement Surgery. Compared to metro cities, joint replacement cost in Patna India, is considerably lower, while maintaining world-class standards of care and technology. Dr. Ashwini Gaurav’s patients appreciate not only the cost-effective treatment but also the personalised attention and post-surgery support that ensure a smooth recovery.
OrthoPatna is one of the best orthopedic clinic in Patna, equipped with modern diagnostic and surgical facilities for joint and bone care.
Key Facilities Include:
Patients benefit from comprehensive care under one roof — from consultation and diagnosis to surgery and rehabilitation — led by the Best Joint Replacement Surgeon in Patna, Dr. Ashwini Gaurav.
Every surgery comes with certain risks, but when performed by an experienced specialist like Dr. Ashwini Gaurav, complications are minimal. Possible joint replacement complications include infection, implant loosening, or stiffness, but modern technology and proper care significantly reduce these risks.
Joint Replacement Recovery typically takes a few weeks, depending on the procedure type and patient health. With physiotherapy and guided rehabilitation, most patients can resume normal activities within 4–6 weeks.
At OrthoPatna, patients receive detailed post-surgery guidance, including diet, exercises, and activity recommendations to ensure a smooth and speedy recovery.
Selecting the right surgeon is key to a successful joint replacement and long-term recovery. Dr. Ashwini Gaurav, recognised as the Best Joint Replacement Surgeon in Patna, is trusted by thousands of patients for his expertise, precision, and compassionate approach.
Here’s why patients choose Dr. Ashwini Gaurav and OrthoPatna:
With a proven track record and patient-first philosophy, Dr. Ashwini Gaurav continues to set new standards in joint replacement surgery in Patna.
Regain your mobility. Restore your confidence. Relieve your pain.
If joint pain is holding you back, it’s time to consult the Best Joint Replacement Surgeon in Patna — Dr. Ashwini Gaurav. With advanced technology, personalised treatment plans, and compassionate care, Dr. Gaurav ensures every patient gets back to living life to the fullest.
Take the first step toward a pain-free life today. Book your appointment with Dr. Ashwini Gaurav, the most trusted orthopedist in Patna, and experience the best in Joint Replacement Surgery.
You may need joint replacement surgery if you experience severe joint pain, stiffness, swelling, or limited movement that doesn’t improve with medicines, injections, or physiotherapy. Dr. Ashwini Gaurav recommends surgery only when conservative treatments fail to provide relief.
At OrthoPatna, patients can undergo various procedures, including Total Joint Replacement, Partial Joint Replacement, Knee Joint Replacement, Hip Joint Replacement, and Revision Arthroplasty, depending on the condition and extent of joint damage.
The joint replacement cost in Patna depends on the type of surgery, implant material, hospital facilities, and post-operative care. Dr. Ashwini Gaurav ensures transparent pricing and affordable packages for world-class treatment at OrthoPatna.
OrthoPatna is equipped with modern operating theatres, computer-assisted surgical systems, digital imaging, and advanced physiotherapy units. The clinic provides complete orthopedic care under one roof — from diagnosis to rehabilitation.
Yes. With advances in surgical techniques and anaesthesia, joint replacement surgery is safe and effective even for senior citizens. Dr. Ashwini Gaurav conducts thorough pre-surgical evaluations to ensure safety and successful recovery for all age groups.
Booking an appointment is simple. You can call +91-9386737895 or visit Our Website to schedule a consultation with Dr. Ashwini Gaurav, the Best Joint Replacement Surgeon in Patna, and discuss your treatment options.
WhatsApp us